スキルス 胃癌 画像 所見



スキルス胃がんの新しい治療 東京大学医学部附属病院

スキルス胃がんの新しい治療 東京大学医学部附属病院

スキルス胃がんとは 北青山dクリニック

スキルス胃がんとは 北青山dクリニック

スキルス胃がん Ctの比較画像 進行をはじめてから7か月後

スキルス胃がん Ctの比較画像 進行をはじめてから7か月後

スキルス胃がんの新しい治療 東京大学医学部附属病院

スキルス胃がんの新しい治療 東京大学医学部附属病院

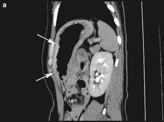
スキルス胃癌の画像診断

スキルス胃癌の画像診断

スキルス胃がんとは 北青山dクリニック

スキルス胃がんとは 北青山dクリニック

スキルス胃がんとは 北青山dクリニック

胃がんの化学療法と成績 胃がん がん研有明病院

胃がんの化学療法と成績 胃がん がん研有明病院

スキルス胃癌の画像診断

スキルス胃癌の画像診断

スキルス胃癌ステージ4 治療中の過ごし方 Ct造影の写真をアップしています 胃癌 ステージ 会社員シングルマザーの闘病記

スキルス胃癌ステージ4 治療中の過ごし方 Ct造影の写真をアップしています 胃癌 ステージ 会社員シングルマザーの闘病記

群馬県 胃がん

群馬県 胃がん

日々の症例 102 胃腫瘍 102 1 60歳代 男性 上腹部痛 画像所見 Ugi 腹臥位充満像で胃体下部大弯を中心に10cm以上の範囲で脳回状のfilling Defectがみられる 進行胃癌にみられるような硬さはなく 胃壁の進展性も比較的保たれている Ct

日々の症例 102 胃腫瘍 102 1 60歳代 男性 上腹部痛 画像所見 Ugi 腹臥位充満像で胃体下部大弯を中心に10cm以上の範囲で脳回状のfilling Defectがみられる 進行胃癌にみられるような硬さはなく 胃壁の進展性も比較的保たれている Ct

スキルス胃がんってmriやct 人間ドック で早期発見する事は可 Yahoo 知恵袋

スキルス胃がんってmriやct 人間ドック で早期発見する事は可 Yahoo 知恵袋

胃がんに対する手術治療

胃がんに対する手術治療

症例4 診断と解説

症例4 診断と解説

胃がんについて 国立がん研究センター 東病院

胃がんについて 国立がん研究センター 東病院

胃がんについて 国立がん研究センター 東病院

胃がんについて 国立がん研究センター 東病院

腹腔内化学療法の治療例

腹腔内化学療法の治療例

日々の症例 102 胃腫瘍 102 1 60歳代 男性 上腹部痛 画像所見 Ugi 腹臥位充満像で胃体下部大弯を中心に10cm以上の範囲で脳回状のfilling Defectがみられる 進行胃癌にみられるような硬さはなく 胃壁の進展性も比較的保たれている Ct

日々の症例 102 胃腫瘍 102 1 60歳代 男性 上腹部痛 画像所見 Ugi 腹臥位充満像で胃体下部大弯を中心に10cm以上の範囲で脳回状のfilling Defectがみられる 進行胃癌にみられるような硬さはなく 胃壁の進展性も比較的保たれている Ct

Gastropedia ガストロペディア 消化器にかかわる医療関係者のために

Gastropedia ガストロペディア 消化器にかかわる医療関係者のために

スキルス胃癌 なんでも内科診療日誌

スキルス胃癌 なんでも内科診療日誌

スキルス胃がんとは 北青山dクリニック

スキルス胃がんとは 北青山dクリニック

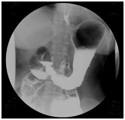
スキルス胃ガンにバリウム検査が有効とききましたが 医者の検査メニューにあり Yahoo 知恵袋

スキルス胃ガンにバリウム検査が有効とききましたが 医者の検査メニューにあり Yahoo 知恵袋

スキルス胃がんとは 胃内視鏡 胃カメラ

スキルス胃がんとは 胃内視鏡 胃カメラ

個別 スキルス胃癌のct診断は難しい 腹部ct の写真 画像 タカ派の画像診断医 写真館

個別 スキルス胃癌のct診断は難しい 腹部ct の写真 画像 タカ派の画像診断医 写真館

Source : pinterest.com