肺炎 の Ct 画像



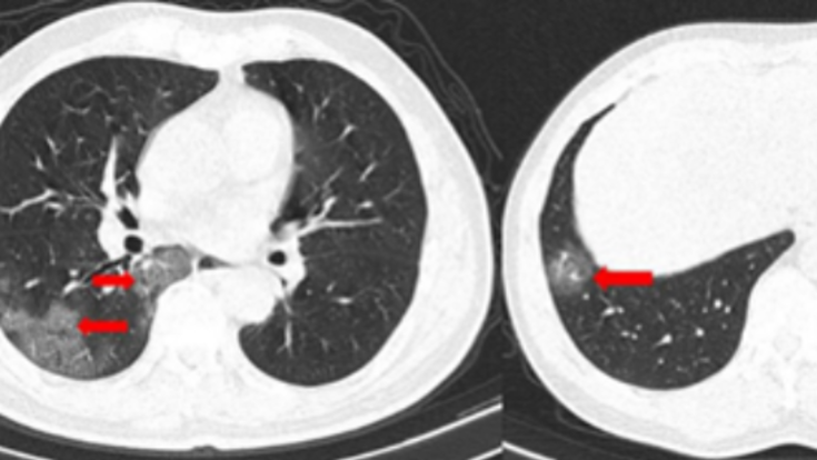
Covid 19の すりガラス陰影 の見分け方 日経メディカル

Covid 19の すりガラス陰影 の見分け方 日経メディカル

肺炎 呼吸器系の病気 医療法人 笠寺病院

肺炎 呼吸器系の病気 医療法人 笠寺病院

新型コロナウィルスによる肺炎を早期発見する為の低線量ct導入 石垣 貴彦 2020 08 14 公開 クラウドファンディング Readyfor レディーフォー

新型コロナウィルスによる肺炎を早期発見する為の低線量ct導入 石垣 貴彦 2020 08 14 公開 クラウドファンディング Readyfor レディーフォー

新型コロナウイルス Covid 19 による肺炎81人のct所見 Lancet Infect Dis誌より 院長ブログ おきのメディカルクリニック

新型コロナウイルス Covid 19 による肺炎81人のct所見 Lancet Infect Dis誌より 院長ブログ おきのメディカルクリニック

呼吸器感染症 Ct画像をどう読むか jr東海 名古屋セントラル病院

呼吸器感染症 Ct画像をどう読むか jr東海 名古屋セントラル病院

最近の話題 京都大学大学院医学研究科 放射線医学講座 画像診断学 核医学

最近の話題 京都大学大学院医学研究科 放射線医学講座 画像診断学 核医学

最近の話題 京都大学大学院医学研究科 放射線医学講座 画像診断学 核医学

新型コロナウイルス肺炎診断支援に関する 臨床への適用評価を開始 藤田医科大学病院

新型コロナウイルス肺炎診断支援に関する 臨床への適用評価を開始 藤田医科大学病院

取り扱う主な疾患 肺炎 神奈川県立循環器呼吸器病センター

取り扱う主な疾患 肺炎 神奈川県立循環器呼吸器病センター

Http Www Jrs Or Jp Quicklink Journal Nopass Pdf Ajrs 002060678j Pdf

Http Www Jrs Or Jp Quicklink Journal Nopass Pdf Ajrs 002060678j Pdf

ニューモシスチス肺炎治療薬 アトバコン 2

ニューモシスチス肺炎治療薬 アトバコン 2

Https Www Kansensho Or Jp Uploads Files Topics 2019ncov Covid19 Casereport 200331 3 Pdf

Https Www Kansensho Or Jp Uploads Files Topics 2019ncov Covid19 Casereport 200331 3 Pdf

肺炎 呼吸器系の病気 医療法人 笠寺病院

肺炎 呼吸器系の病気 医療法人 笠寺病院

解答 解説 抗菌薬無効の肺炎として紹介された20歳代女性 実践 画像診断q A 羊土社 レジデントノート 羊土社

解答 解説 抗菌薬無効の肺炎として紹介された20歳代女性 実践 画像診断q A 羊土社 レジデントノート 羊土社

コロナ肺炎の改善or悪化はct像で予想できる 日経メディカル

コロナ肺炎の改善or悪化はct像で予想できる 日経メディカル

最近の話題 京都大学大学院医学研究科 放射線医学講座 画像診断学 核医学

最近の話題 京都大学大学院医学研究科 放射線医学講座 画像診断学 核医学

特別webコラム 新型コロナウィルス禍に学ぶ応用物理 X線ctとai画像診断1 新型コロナウイルス感染症とct検査の果たす役割 アブストラクト 木暮陽介 順天堂大学医学部附属順天堂医院 応用物理学会

特別webコラム 新型コロナウィルス禍に学ぶ応用物理 X線ctとai画像診断1 新型コロナウイルス感染症とct検査の果たす役割 アブストラクト 木暮陽介 順天堂大学医学部附属順天堂医院 応用物理学会

新型コロナウイルス感染症肺炎 日本医師会 Covid 19有識者会議

新型コロナウイルス感染症肺炎 日本医師会 Covid 19有識者会議

新型コロナウイルス感染症における胸部ct像の特徴

新型コロナウイルス感染症における胸部ct像の特徴

Http Www Jrs Or Jp Quicklink Journal Nopass Pdf Ajrs 002060678j Pdf

Http Www Jrs Or Jp Quicklink Journal Nopass Pdf Ajrs 002060678j Pdf

Https Www Kansensho Or Jp Uploads Files Topics 2019ncov Covid19 Casereport 200331 3 Pdf

Https Www Kansensho Or Jp Uploads Files Topics 2019ncov Covid19 Casereport 200331 3 Pdf

マラリア治療薬で新型肺炎の症状改善 福岡の病院が報告 新型コロナウイルス 朝日新聞デジタル

マラリア治療薬で新型肺炎の症状改善 福岡の病院が報告 新型コロナウイルス 朝日新聞デジタル

今月の主題 症例からみる肺疾患のct画像 Medicina44 2

今月の主題 症例からみる肺疾患のct画像 Medicina44 2

過敏性肺炎 特徴的な病歴が診断のヒント 亀田メディカルセンター 亀田総合病院 呼吸器内科 呼吸器道場

過敏性肺炎 特徴的な病歴が診断のヒント 亀田メディカルセンター 亀田総合病院 呼吸器内科 呼吸器道場

新型コロナウイルス肺炎 ダイヤモンドプリンセス号 紫山公園ファミリークリニック 宮城県仙台市泉区 内科 呼吸器内科 小児科 外科 皮ふ科

新型コロナウイルス肺炎 ダイヤモンドプリンセス号 紫山公園ファミリークリニック 宮城県仙台市泉区 内科 呼吸器内科 小児科 外科 皮ふ科

Source : pinterest.com